Macrófagos

Os macrófagos são células especializadas do sistema imunitário que protegem o organismo contra agentes patogénicos. Estão presentes no tecido conjuntivo e em órgãos de defesa como pulmões, fígado, rins e sistema nervoso.

Principais características:

  • Célula de formato irregular;

  • Citoplasma abundante;

  • Presença de pseudópodes, que auxiliam na fagocitose.

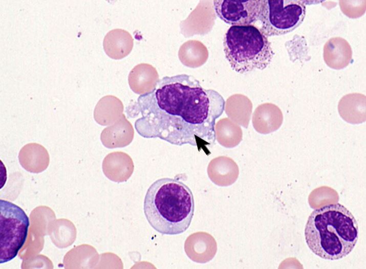
Macrófagos 
Macrófagos vistos ao MOC

Função principal:

A principal função é a fagocitose, ingerindo e destruindo patogénicos, células mortas ou detritos celulares. Algumas funções específicas dependem do órgão onde se encontram. 

Exemplos e funções específicas:  

  • Macrófagos alveolares → Pulmões → Defesa contra microrganismos e partículas estranhas;
  • Células de Kupffer → Fígado → Remoção de células envelhecidas e destruição de bactérias;
  • Células mesangiais → Rins → Fagocitose de substâncias estranhas;
  • Micróglia → Sistema Nervoso Central → Fagocitose e defesa do sistema nervoso;
  • Macrófagos esplénicos → Baço → Participação na imunidade e filtragem do sangue;
  • Histiócitos → Tecido conjuntivo → Função fagocítica;
  • Monócitos → Sangue → Defesa do organismo;
  • Osteoclastos → Tecido ósseo → Remodelação óssea;

Outras funções importantes:

  • Ativam células nos processos inflamatórios;
  • Produzem substâncias que estimulam respostas imunitárias;
  • Eliminam células destruídas e detritos nos locais inflamados;

  • Contribuem para cicatrização, metabolismo do ferro e manutenção da homeostase.

Papel na imunidade:

Possuem recetores de superfície que identificam microrganismos e sinais de perigo, alertando o sistema imunitário e iniciando a resposta adequada. 

Crie o seu site grátis! Este site foi criado com a Webnode. Crie o seu gratuitamente agora! Comece agora